Step 1: Free Assessment, Plan & Scheduling
We contact you, collect your photos, and our dentists prepare your treatment plan and price estimate. We explain the procedure, timeline, and total cost.
★★★★★ 5/5 – based on hundreds of real patient reviews.
Smiles that heal, last, and feel like you.
Every transformation is personal, every result is made to last — here’s what smiling again really looks like.
This patient came to us with bite issues, uneven tooth lengths, discoloration, and visible wear.
With carefully planned treatment using top-quality E-max crowns, we corrected alignment, improved function, and created a bright, symmetrical smile — all in a single visit.
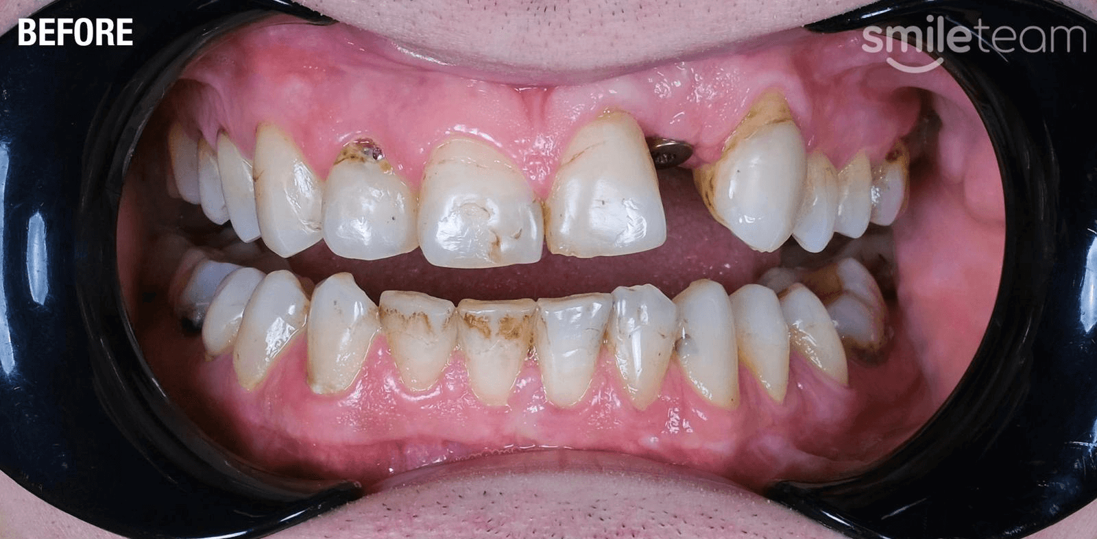
This patient came to us with missing teeth, severe decay, gum recession, and worn crowns — all leading to bone loss and bite dysfunction.
In just two visits, we restored their bite and appearance with a full-mouth dental implant solution using world-class materials. The result: a confident, lasting smile built to feel like home.
A missing front tooth had taken a toll on this patient’s confidence. With worn, decayed teeth and inflamed gums, their smile didn’t reflect how they felt inside.
By completing their existing implant and restoring their teeth with durable, life-like zirconium crowns, we delivered a full transformation in just one visit — restoring not just their bite, but their self-assurance too.
At Smile Team, we collaborate with globally recognized brands, labs, and certified technologies to deliver safe, long-lasting, and natural-looking dental results. Every partner we work with reflects our commitment to quality, innovation, and your health.






Our mission is to provide exceptional patient satisfaction along with top-quality dental treatments. We envision making dental travel more accessible and eliminating trust and quality concerns. We believe that everyone should feel confident and welcomed, even more so than in their own country. Together, we’re breaking barriers and building a future where dental care knows no borders. Thank you for trusting us with your smile – your confidence is our greatest achievement.
— Vita Moskalova, Founder of Smile Team Turkey





